5 cose da sapere sul Fumo 🚬
Il fumo non è solo un brutto vizio, ma un pericolo per la salute propria e degli altri, perché: 👉🏻 1. Porta Malattie e Rischi Mortali Il fumo in Italia è responsabile del 91% di tutte le morti per cancro al polmone negli uomini e del 55% nelle donne, per un totale...
Le 3 Cause del detto “Aprile Dolce Dormire” 😴
😴 Le 3 Cause del detto “Aprile Dolce Dormire” Con l’arrivo della primavera si tende a sentirsi più stanchi e assonnati. Questo ha dato vita al detto “aprile dolce dormire”. 🔴 Ma quali sono le 3 cause che provocano questa strana spossatezza? 💤 1....
Spalla dolorosa ?
Spalla dolorosa ? La spalla dolorosa è una condizione molto frequente nella popolazione, è infatti seconda solo al mal di schiena! É caratterizzata da dolore nella parte alta e laterale del braccio e nell’area anteriore della spalla associato ad una limitazione...
Alimentazione corretta: parla la nutrizionista biologa Dott.ssa Quadri
La specialista di Celsus ci aiuta a capire meglio come condurre uno stile di vita sano iniziando dall’alimentazione
Cervicalgia: i consigli dell’osteopata Marta Santini
Il mal di collo è una patologia tanto fastidiosa quanto diffusa. Marta Santini, osteopata di Celsus, ci spiega quali sono le cause principali della cervicalgia e ci mostra anche un pratici esercizi da fare a casa per contrastare il problema. Video...
Terapia osteopatica: tutto ciò che devi sapere [Intervista con Marta Santini]
Oggi vogliamo dedicare un focus all’osteopatia, ai suoi utilizzi e ai benefici che potrebbe portare ai pazienti. E chi meglio di Marta Santini, osteopata presso il Centro Medico CELSUS, può aiutarci a sciogliere tutti i dubbi al riguardo? Marta è diplomata in...
Parodontite e diabete, quale nesso tra le due patologie?
Esistono patologie che spesso non sembrano correlate tra loro ma che invece si presentano, singolarmente o entrambe, perché connesse da alcuni fattori. Ad esempio diabete e parodontite sono due malattie croniche che non sembrano avere nulla in comune. La realtà è...
C’è collegamento tra parto prematuro e parodontite?
Tra le problematiche legate alla gravidanza e al suo termine, vi è il parto prematuro. Un tema che spaventa non poco le future mamme e che, in alcuni casi, può portare problemi al bambino. Tra le cause del parto pre-termine, ci sono i problemi ai denti ed in...
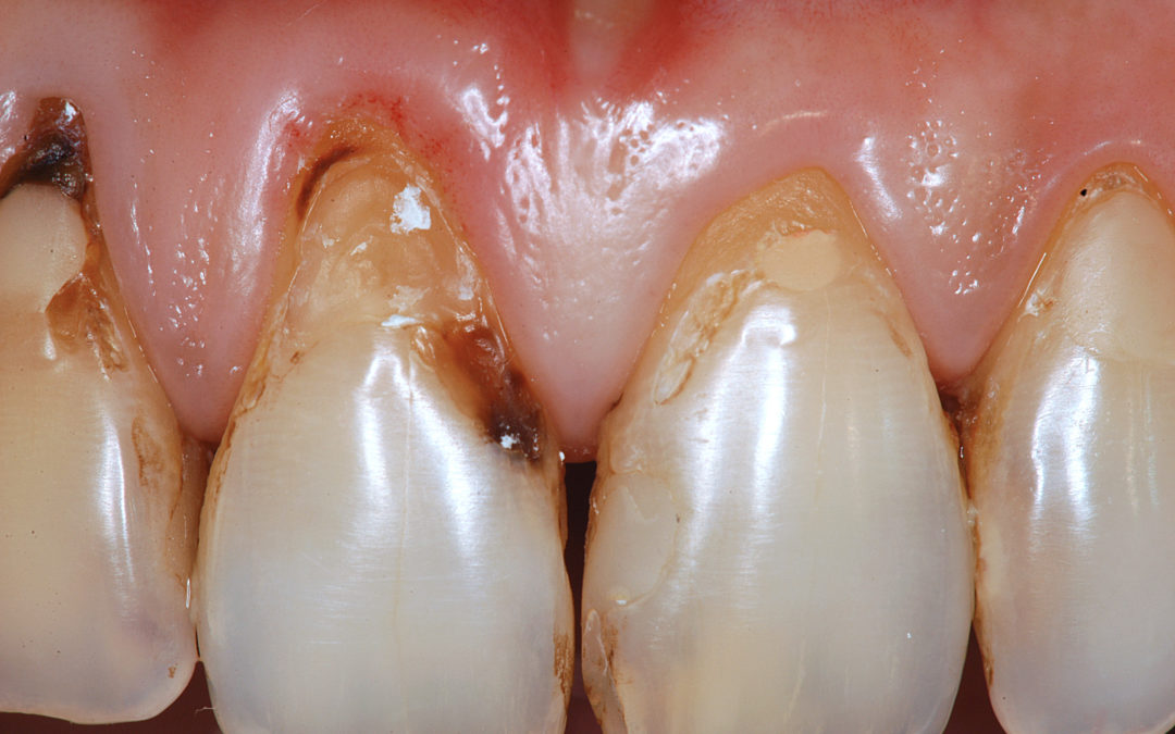
Denti e fumo
Una coppia scoppiata Anche in questo caso interviene l’accademia italiana di conservativa con il suo argomento n. 10 Collegati alla pagina web:...
La devitalizzazione, cos’è? (art. 8)
Spesso il paziente ci chiede in cosa consiste la devitalizzazione.. “ma dottore il nervo me l’ha tolto?” ecco che anche in questo caso l’AIC ci spiega in cosa consiste il TRATTAMENTO CANALARE, termine appropriato per descrivere tale procedura....
Fai una ricerca
‘ ll pensiero immobile è l’anticipazione del fallimento… accertati di essere sempre ricettivo alle nuove idee.’
George W. Crane